Synopsis of Social media discussions

The discussions demonstrate a high level of interest, with posts referencing specific aspects such as amygdala overgrowth during the first year and its relation to later social deficits, emphasizing the importance and potential impact of the research. The tone and focus on early diagnosis highlight the relevance and significance of the findings for both scientific understanding and clinical application.

A
Agreement
Moderate agreement

Most discussions acknowledge and support the findings about distinct brain development patterns in autism and fragile X syndrome, indicating general agreement.

I
Interest
High level of interest

Numerous posts highlight curiosity and focus on key features like amygdala overgrowth, showing high engagement and interest in the topic.

E
Engagement
Moderate level of engagement

Posts reference specific brain structures, growth patterns, and potential early diagnosis implications, reflecting meaningful discussion and analysis.

I
Impact
High level of impact

The discussions emphasize the potential for early intervention and understanding neurodevelopmental disorders, suggesting these findings could influence future research and clinical practice.

Social Mentions

YouTube

2 Videos

Facebook

8 Posts

Twitter

49 Posts

Instagram

2 Posts

TikTok

1 Posts

Blogs

2 Articles

News

8 Articles

Reddit

1 Posts

Metrics

Video Views

212

Total Likes

67

Extended Reach

707,390

Social Features

73

Timeline: Posts about article

Top Social Media Posts

Posts referencing the article

Early Brain Development and Genetic Risk in Autism Insights

Early Brain Development and Genetic Risk in Autism Insights

American Journal of Psychiatry Deputy Editor Daniel S Pine MD discusses research on how genetic risk factors influence early brain development in autism, highlighting brain differences in siblings and potential early indicators of autism.

September 1, 2022

113 views


Early Brain Development and Genetic Risks in Autism Analysis

Early Brain Development and Genetic Risks in Autism Analysis

American Journal of Psychiatry Deputy Editor Daniel S Pine MD discusses recent research on infant brain development and inherited genetic liability in autism, highlighting early brain differences and potential biomarkers for autism risk.

August 3, 2022

99 views


  • Dr Sanil Rege FRANZCP | MRCPsych
    @sanilrege (Twitter)

    @rovingchloe @psycheureka Amygdala accelerated growth https://t.co/nJKt663WRA
    view full post

    June 23, 2025

    1

  • Becky Apteker
    @BeckyApteker (Twitter)

    Subcortical Brain Development in Autism and Fragile X Syndrome: Evidence for Dynamic, Age- and Disorder-Specific Trajectories in Infancy | American Journal of Psychiatry https://t.co/D5BmuAG3IK
    view full post

    August 10, 2024

  • CWebb0412
    @webb0412 (Twitter)

    @woody3875632599 @davideyoungmd @doritmi @Forbes https://t.co/2QbJts62cq https://t.co/BVcNRgdPAE
    view full post

    January 21, 2024


  • @srayoda (Twitter)

    RT @Bibliotecoculta: @RebolledaGil Muchas gracias: me ha recordado la relación entre amígdala y autismo https://t.co/KfxJx6fbVH
    view full post

    November 13, 2023

    1

  • Festina Mox Nox
    @Bibliotecoculta (Twitter)

    @RebolledaGil Muchas gracias: me ha recordado la relación entre amígdala y autismo https://t.co/KfxJx6fbVH
    view full post

    November 12, 2023

    6

    1

  • Elena
    @Eowynth (Twitter)

    @NovaEdelw @autivista @autiblog @HistCotidianas en el aviso de prensa se han lucido https://t.co/ewqRX1sXI1 donde "el inicio gradual y cambios de conducta en ASD (CEA en inglés) sugiere un patrón específico de cambios cerebrales que preceden al diagnóstico. Yo entiendo que son cambios completamente adaptativos para poder
    view full post

    August 22, 2023

  • Ellen
    @Elle_Ham06 (Twitter)

    RT @sjs856: @stkirsch Autism starts during gestation 2. https://t.co/9EGVrQs1yw
    view full post

    June 1, 2023

    2

  • Drew Comments
    @sjs856 (Twitter)

    RT @sjs856: @stkirsch Autism starts during gestation 2. https://t.co/9EGVrQs1yw
    view full post

    June 1, 2023

    2

  • Drew Comments
    @sjs856 (Twitter)

    @stkirsch Autism starts during gestation 2. https://t.co/9EGVrQs1yw
    view full post

    June 1, 2023

    8

    2

  • Alexander
    @PsychAlexander (Twitter)

    @psychgeist52 @RadoslawStupak That's just not true. I'm fine with calling it difference not abnormality. But there's evidence of differential development e.g. these are the latest https://t.co/UtzhsM3kpJ https://t.co/g0XRZOTbbp there's many more
    view full post

    November 9, 2022

    1

  • Journals of The American Psychiatric Association
    @APAPubJournals (Twitter)

    Subcortical Brain Development in Autism and Fragile X Syndrome: Evidence for Dynamic, Age- and Disorder-Specific Trajectories in Infancy https://t.co/fp9F6GdkNS
    view full post

    August 19, 2022

  • Journals of The American Psychiatric Association
    @APAPubJournals (Twitter)

    4. Subcortical Brain Development in Autism and Fragile X Syndrome: Evidence for Dynamic, Age- and Disorder-Specific Trajectories in Infancy 4/4 https://t.co/fp9F6GcMYk
    view full post

    August 15, 2022

  • CliniKids
    @clinikids_au (Twitter)

    In this edition of 60 Second Science, @AJOWhitehouse discusses a recent study which looked at amygdala growth during the first 2yrs of life in children who go on to develop #autism. To access the article discussed in the vid: https://t.co/ckCb1h4Ucg https://t.co/nHLnuoEZkw
    view full post

    June 6, 2022

    1

  • Anti MedX
    @DrPsiquiatraMx (Twitter)

    @Klein_85 In ASD, the amygdala fasters growth between 6 and 24 months age, related to ASD social deficits (12 mo diferencial growth va Ctrls, Cohen’s d=0.56)... https://t.co/0ot8bQVqkK
    view full post

    May 1, 2022

  • 塩川宏郷
    @ddtsubucafe (Twitter)

    Subcortical Brain Development in Autism and Fragile X Syndrome: Evidence for Dynamic, Age- and Disorder-Specific Tr… https://t.co/19iaPOf7Rx
    view full post

    April 24, 2022

  • Daniel Montero
    @ndanmontero (Twitter)

    A new study suggests that overgrowth of the amygdala in infants during the first 6 to 12 months of life is tied to a later diagnosis of autism spectrum disorder #ASD Am J Psychiatry 2022 https://t.co/SuimJhm8fz
    view full post

    April 19, 2022

    5

  • Ruth Hatch
    @25JessieSt (Twitter)

    Infants who developed Autism Spectrum Disorder (ASD) had typically-sized amygdala volumes at 6 mos, but much faster amygdala growth from 6-12 mos, & were strongly assoc w/ greater social deficits at 24 mos when they were diagnosed w/ ASD. Early warning? https://t.co/1INtVXOTby
    view full post

    April 13, 2022

  • Daniel Montero
    @ndanmontero (Twitter)

    A new study suggests that overgrowth of the amygdala in infants during the first 6 to 12 months of life is tied to a later diagnosis of autism spectrum disorder #ASD Am J Psychiatry 2022 https://t.co/SuimJhm8fz
    view full post

    April 11, 2022

    2

  • Paweł Pflegel
    @AutyzmBiologia (Twitter)

    Subcortical Brain Development in Autism and Fragile X Syndrome: Evidence for Dynamic, Age- and Disorder-Specific Trajectories in Infancy https://t.co/ZowxWghdZN
    view full post

    April 9, 2022

  • Especialistas
    @especialistas__ (Twitter)

    Para mais informações, seguem os links para uma reportagem sobre o assunto e para o artigo mencionado: https://t.co/poj2AKaqXL https://t.co/40hY8hn1a4
    view full post

    April 8, 2022

    2

  • Art Fougner PGY50
    @sonodoc99 (Twitter)

    @mssnytweet Closing in on the Pathophysiology of #Autism? https://t.co/l5GD39c5dp
    view full post

    April 2, 2022

  • Researching the Brain
    @Brain_Database (Twitter)

    "#Amygdala growth rate between 6 and 12 months was significantly associated with greater social deficits at 24 months when the infants were diagnosed with #Autism" https://t.co/ETc0qPrTbt
    view full post

    April 1, 2022

  • Terapia en Acción
    @TerapiaAccion (Twitter)

    RT @AETAPI: Pionero estudio neurológico comparativo entre Síndrome de X Frágil y TEA en la infancia, mediante resonancia magnética. Los res…
    view full post

    March 31, 2022

    6

  • Dárata Charo
    @charo2270 (Twitter)

    RT @AETAPI: Pionero estudio neurológico comparativo entre Síndrome de X Frágil y TEA en la infancia, mediante resonancia magnética. Los res…
    view full post

    March 31, 2022

    6

  • Autismos
    @Autismos2 (Twitter)

    RT @AETAPI: Pionero estudio neurológico comparativo entre Síndrome de X Frágil y TEA en la infancia, mediante resonancia magnética. Los res…
    view full post

    March 31, 2022

    6

  • AETAPI
    @AETAPI (Twitter)

    Pionero estudio neurológico comparativo entre Síndrome de X Frágil y TEA en la infancia, mediante resonancia magnética. Los resultados sugieren un patrón específico de edad y cambios cerebrales en cascada que preceden al diagnóstico de #TEA. https://t.co/KAIH3bNv2U
    view full post

    March 31, 2022

    9

    6

  • Mar Alonso Hoyas
    @MarMarhoyas (Twitter)

    RT @NeuroscienceNew: “Subcortical Brain Development in Autism and Fragile X Syndrome: Evidence for Dynamic, Age- and Disorder-Specific Traj…
    view full post

    March 29, 2022

    5

  • ابن سينا الطبي
    @Avicenna_M_B (Twitter)

    البحث العلمي في اسبوع https://t.co/MoQHSE03Th #طبيبي #تطبيق_طبيبي #ابن_سينا_الطبي https://t.co/bLgTiG3bt5 https://t.co/LEHYmgs6kV
    view full post

    March 29, 2022

    1

  • Andrea M Joseph
    @AndreaMJoseph (Twitter)

    Interesante estudio
    view full post

    March 29, 2022

  • Roger Blackwell
    @rogerablackwell (Twitter)

    Subcortical Brain Development in Autism and Fragile X Syndrome: Evidence for Dynamic, Age- and Disorder-Specific Trajectories in Infancy https://t.co/3IMFazrRLA
    view full post

    March 29, 2022

  • BRAINWeekCNS
    @BRAINWeekCNS (Twitter)

    The #behavioral features of #autism do not fully develop until 24–36 months of age and can delay #diagnosis. New #research published by the @APAPsychiatric demonstrates amygdala overgrowth before most #autistic babies exhibit other #symptoms. Read more at: https://t.co/2T81rrvoBX https://t.co/cSubNaZ4Ws
    view full post

    March 28, 2022

  • Sallie Porter DNP PhD APN
    @DrSalliePNP (Twitter)

    https://t.co/SJ87EtBak3
    view full post

    March 28, 2022

  • Elaine Frank
    @Elaine124c41 (Twitter)

    Subcortical Brain Development in Autism and Fragile X Syndrome: Evidence for Dynamic, Age- and Disorder-Specific Trajectories in Infancy https://t.co/JXF4HVaQSY
    view full post

    March 28, 2022

  • Olga Shemyakina
    @olgabaev (Twitter)

    Overgrowth of the amygdala
    view full post

    March 27, 2022

    2

  • cedric boeckx
    @cedricboeckx (Twitter)

    “Different timing & patterns of brain and behavior development in two neurodevelopmental disorders that share overlapping behavioral phenotypes” reported in this study (M. Shen et al) focusing on subcortical region development in #ASD & Fragile X syndrome https://t.co/vqtXHNzcMW
    view full post

    March 27, 2022

    5

  • The Aegean Society
    @aegeansociety (Twitter)

    https://t.co/ArzgM1f6Bs
    view full post

    March 27, 2022

  • Daniel Thomson
    @djthomson (Twitter)

    RT @NeuroscienceNew: “Subcortical Brain Development in Autism and Fragile X Syndrome: Evidence for Dynamic, Age- and Disorder-Specific Traj…
    view full post

    March 26, 2022

    5

  • UNC CIDD
    @UNCCIDD (Twitter)

    ‘Babies who developed autism had rapid growth of a key brain structure in the first year of life’ attributed to researchers at UNC and the Infant Brain Imaging (IBIS) Network. https://t.co/Y0HtiMBXAb
    view full post

    March 25, 2022

  • Rifat S. İLHAN
    @rifatilhan (Twitter)

    RT @NeuroscienceNew: “Subcortical Brain Development in Autism and Fragile X Syndrome: Evidence for Dynamic, Age- and Disorder-Specific Traj…
    view full post

    March 25, 2022

    5

  • Neuroscience News
    @NeuroscienceNew (Twitter)

    “Subcortical Brain Development in Autism and Fragile X Syndrome: Evidence for Dynamic, Age- and Disorder-Specific Trajectories in Infancy” by Mark Shen et al. American Journal of Psychiatry https://t.co/Oqz4O5dlmQ
    view full post

    March 25, 2022

    13

    5

  • orca〆
    @_yuuki98 (Twitter)

    RT @APAPubJournals: A @UNCCIDD study that followed the brain development of infants who later developed autism found that the autism and fr…
    view full post

    March 25, 2022

    1

  • Journals of The American Psychiatric Association
    @APAPubJournals (Twitter)

    A @UNCCIDD study that followed the brain development of infants who later developed autism found that the autism and fragile X groups had different brain trajectories, with distinct patterns and specific relationships to clinically important symptoms. https://t.co/DQVCgDrBxv https://t.co/Oujcc4y3xr
    view full post

    March 25, 2022

    1

    1

  • Andrea McCoy ☘️☮️
    @AndreaBHHS (Twitter)

    RT @APAPubJournals: An @ibis_research study @UNCCIDD identified for the first time that a key brain structure grows too rapidly in the firs…
    view full post

    March 25, 2022

    3

  • Journals of The American Psychiatric Association
    @APAPubJournals (Twitter)

    An @ibis_research study @UNCCIDD identified for the first time that a key brain structure grows too rapidly in the first year of life in babies who later develop autism, before they show social difficulties that lead to autism diagnosis. Learn more: https://t.co/DQVCgDrBxv https://t.co/sMz0nJrssw
    view full post

    March 25, 2022

    6

    3

  • Natalia
    @nataliataurreko (Twitter)

    https://t.co/XDQZCm7F0R “The amygdala grows too quickly in infants (6-12 months) who later develop ASD as toddlers”
    view full post

    March 25, 2022

  • Natalie Mooney
    @nvmooney (Twitter)

    RT @PatThomasNews: #Breaking In research published today, Scientists at UNC-Chapel Hill say MRI scans identified amygdala overgrowth occurs…
    view full post

    March 25, 2022

    2

  • Patrick Karl Thomas
    @PatThomasNews (Twitter)

    #Breaking In research published today, Scientists at UNC-Chapel Hill say MRI scans identified amygdala overgrowth occurs rapidly for children with autism during infancy. @SpecNews1RDU https://t.co/TuvkIjS1fh
    view full post

    March 25, 2022

    1

    2

  • CHOP Publication Bot
    @chop_pubs (Twitter)

    Mark D Shen: Subcortical Brain Development in Autism and Fragile X Syndrome: Evidence for Dynamic, Age- and Disorder-Specific Trajectories in Infancy https://t.co/nCVuS0MGhy
    view full post

    March 25, 2022

  • Zhiqiang Sha (@zhiqiangsha.bsky.social)
    @sha_zhiqiang (Twitter)

    Subcortical Brain Development in Autism and Fragile X Syndrome: Evidence for Dynamic, Age- and Disorder-Specific Trajectories in Infancy https://t.co/Hp3ViSwuQs
    view full post

    March 25, 2022

    1

  • Samantha Shih - Facebook

    ... ajp.psychiatryonline. org/doi/10.1176/appi.ajp.21090896# · AJP.PSYCHIATRYONLINE.ORG. Subcortical Brain Development in Autism and Fragile X Syndrome: Evidence ...
    view full post

    December 21, 2025

    Facebook

  • Anoxi Cimeriesi - Facebook

    ... ajp.psychiatryonline. org/doi/full/10.1176/appi.ajp.21090896 https://pubmed.ncbi.nlm.nih.gov/15749240/ [to badanie dotyczy też, oprócz ciała migdałowatego ...
    view full post

    December 21, 2025

    Facebook

  • MRI_amygdala [IMAGE] | EurekAlert! Science News Releases

    10.1176/appi.ajp.21090896. Keywords. /Health and medicine/Diseases and disorders/Developmental disabilities/Autism; /Life sciences/Organismal biology/Anatomy ...
    view full post

    December 21, 2025

    News

  • O post já reflete muito, portanto sem muita legenda… Uma alerta é ...

    org/doi/full/10.1176/appi.ajp.21090896 Um estudo bem legal para reflexão! Só vamos evoluir na inclusão, se compreendermos funcionamento ...
    view full post

    February 4, 2025

    Instagram

  • Vamos falar um pouco sobre TEA (Transtorno do ... - Instagram

    ... 10.1176/appi.ajp.21090896 ... 10.1176/appi.ajp.21090896. Instagram. Log in · Open app · fernandolauria. and. institutolimbios.
    view full post

    December 4, 2024

    Instagram

  • É preciso fazer essa reflexão , é muito importante: a compreensão ...

    ... 10.1176/appi.ajp.21090896/suppl_file/appi.ajp.21090896.ds001.pdf Estes A, Zwaigenbaum L, Gu H, et al: Behavioral, cognitive, and adaptive ...
    view full post

    November 24, 2024

    TikTok

  • Una pequeña porción del centro emocional del cerebro, la amígdala ...

    ... 10.1176/appi.ajp.21090896 en el contenido de InglésNotificacion de salida ... psychiatryonline.org/doi/abs/10.1176/appi.ajp. 21090896 en el ...
    view full post

    January 20, 2024

    Facebook

  • Catalogó Espacio Sensorial Quieres conocer un poco más de los ...

    https://ajp.psychiatryonline. org/doi/abs/10.1176/appi.ajp.21090896 en el contenido de InglésNotificacion de salida · No photo description ...
    view full post

    August 2, 2023

    Facebook

  • Espacio Sensorial - Facebook

    https://ajp.psychiatryonline. org/doi/abs/10.1176/appi.ajp.21090896 en el contenido de InglésNotificacion de salida · No photo description ...
    view full post

    July 20, 2023

    Facebook

  • Chcemy wykorzystać Miesiąc Świadomości/Akceptacji ... - Facebook

    ... ajp.psychiatryonline. org/doi/full/10.1176/appi.ajp.21090896 https://pubmed.ncbi.nlm.nih.gov/15749240/ [to badanie dotyczy też, oprócz ciała ...
    view full post

    April 12, 2023

    Facebook

  • Healio Minute Podcast, Neurology Edition: Top Headlines - Week of ...

    2022;doi:10.1176/appi.ajp.21090896. Sources/Disclosures. Disclosures: Please see each study for relevant financial disclosures. Healio AI. Ask ...
    view full post

    April 21, 2022

    News

  • The amygdala grows too fast in babies who develop autism - Futurity

    Original Study DOI: 10.1176/appi.ajp.21090896. Related. Brains of girls and boys with autism aren't the same. How babies look at objects may ...
    view full post

    March 30, 2022

    Blogs

  • Amygdala overgrowth begins in first year of life in infants with ASD

    Am J Psychiatry. 2022;doi:10.1176/appi.ajp.21090896. Disclosures: Shen reports no relevant financial disclosures. Please see the study for all ...
    view full post

    March 30, 2022

    News

  • 蘇柏全自寫《商業實務個案》- 非廣告- 【重要個案研討】《研究首度 ...

    ... 是三歲後。」 ref : https://ajp.psychiatryonline. org/doi/full/10.1176/appi.ajp.21090896. 王玉美 ·
    view full post

    March 28, 2022

    Facebook

  • Summary: Overgrowth of the amygdala at 6 – 12 months is an early ...

    https://ajp.psychiatryonline. org/doi/10.1176/appi.ajp.21090896. ajp.psychiatryonline.org. Subcortical Brain Development in Autism and. 4 yrs.
    view full post

    March 27, 2022

    Facebook

  • El crecimiento excesivo de la amígdala, que se produce en el ...

    https://ajp.psychiatryonline.org/doi/abs/10.1176/appi.ajp.21090896. Acerca del Instituto Nacional de Salud Infantil y Desarrollo Humano ...
    view full post

    March 25, 2022

    News

  • Amygdala overgrowth that occurs in autism spectrum disorder may ...

    https://ajp.psychiatryonline.org/doi/abs/10.1176/appi.ajp.21090896. ###. About the Eunice Kennedy Shriver National Institute of Child Health ...
    view full post

    March 25, 2022

    News

  • Scientists identify overgrowth of key brain structure in babies who ...

    American Journal of Psychiatry, 2022; DOI: 10.1176/appi.ajp.21090896. Cite This Page: MLA; APA; Chicago. University of North Carolina Health ...
    view full post

    March 25, 2022

    News

  • Scientists discover overgrowth of the amygdala in babies who ...

    The full study is available here: https://ajp.psychiatryonline.org/doi/full/10.1176/appi.ajp.21090896 There's also a PDF version…
    view full post

    March 25, 2022

    Reddit

  • Scientists identify overgrowth of key brain structure in babies who ...

    10.1176/appi.ajp.21090896. Method of Research. Imaging analysis. Subject of Research. People. Article Title. Subcortical Brain Development in ...
    view full post

    March 25, 2022

    News

  • Amygdala in children diagnosed with autism begins its accelerated ...

    https://ajp.psychiatryonline.org/doi/abs/10.1176/appi.ajp.21090896. Be the first to rate this article. Posted in: Child Health News | Medical ...
    view full post

    March 25, 2022

    Blogs

  • Amygdala overgrowth that occurs in autism spectrum disorder may ...

    https://ajp.psychiatryonline.org/doi/abs/10.1176/appi.ajp.21090896. About the Eunice Kennedy Shriver National Institute of Child Health and ...
    view full post

    March 24, 2022

    News

Abstract Synopsis

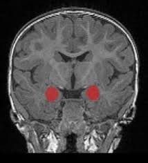
  • The study examines how the development of the amygdala and caudate nucleus differs in infants with autism spectrum disorder (ASD) and fragile X syndrome, finding that amygdala enlargement appears rapidly within the first year in ASD, while caudate volume is enlarged from 6 months in fragile X syndrome, indicating disorder-specific brain development patterns.
  • Researchers tracked brain growth through longitudinal MRI scans and linked early changes in amygdala growth rate to later social deficits in ASD, suggesting that the brain's structural differences develop dynamically during infancy.
  • This research highlights that brain development trajectories are distinct between ASD and fragile X syndrome, with ASD-related brain changes unfolding over the first two years, whereas fragile X shows consistent early differences in the caudate from 6 months, emphasizing the importance of early diagnosis and understanding disorder-specific neurodevelopmental patterns.